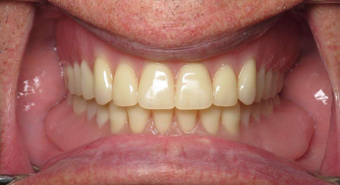
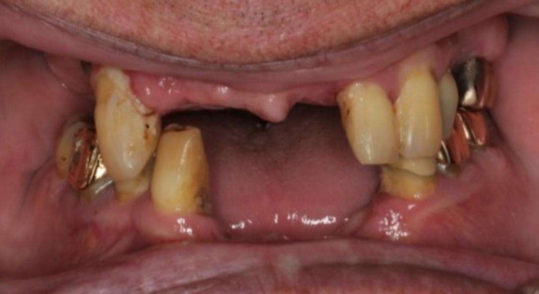
Implant Dentures

Before-and-after image of implant dentures in Pampa, TX. Experience a secure, comfortable fit with natural-looking results—restoring confidence and full-mouth function.

If you have difficulty using our website, please email us or call us at
View the