Are you considering a smile makeover? Take a look at some of the smile transformations we've created then call us to see how we can help you!


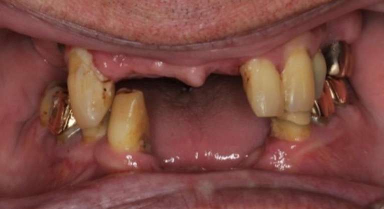
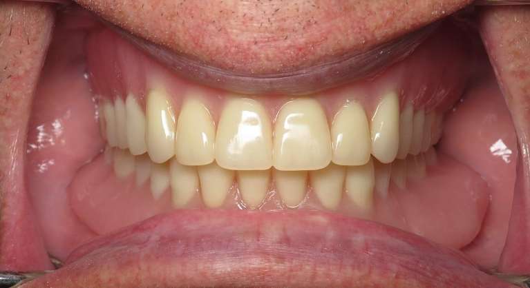
Before-and-after image of implant dentures in Pampa, TX. Experience a secure, comfortable fit with natural-looking results—restoring confidence and full-mouth function.


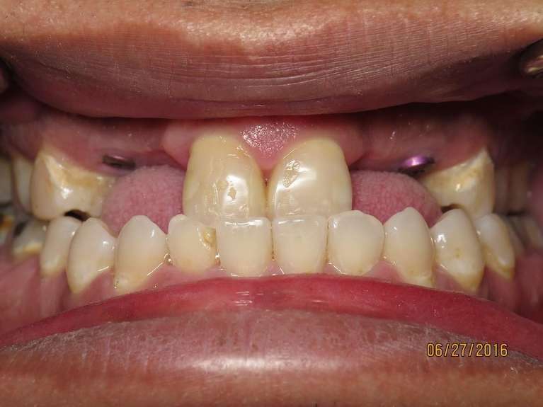
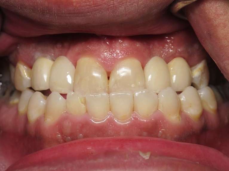
Before-and-after image featuring implant crowns in Pampa, TX. Discover a permanent, natural-looking solution for missing teeth that restores both function and aesthetics.


Before-and-after image showing a smile restored with an implant bridge in Pampa, TX. Enjoy a secure, natural-looking solution for missing teeth with long-lasting results.


Before-and-after image highlighting the smile transformation with custom dentures in Pampa, TX. Restore confidence, comfort, and function with a natural-looking new smile.


Before-and-after image showcasing the transformation with ceramic crowns in Pampa, TX. Achieve a strong, natural-looking smile with lifelike results that blend seamlessly.


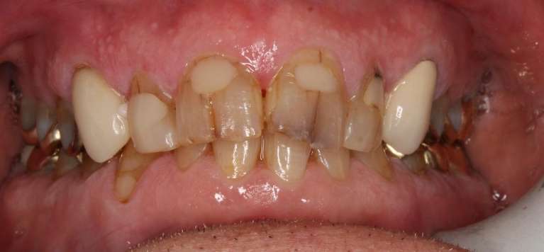
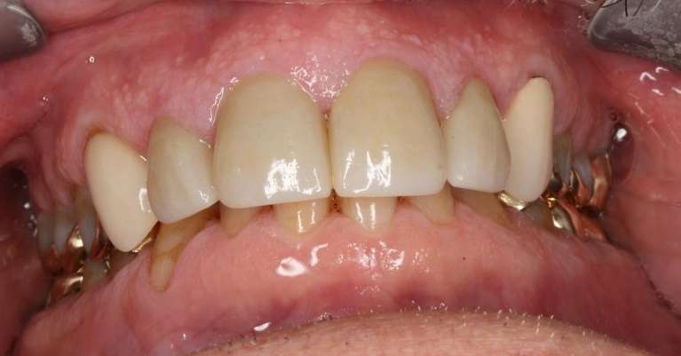
Before-and-after image of a broken front tooth restored using dental crowns and bridges in Pampa, TX. See how expert restorative care brings back your smile’s strength and appearance.


Before-and-after image showing a metal filling replaced with a natural-looking tooth-colored crown in Pampa, TX. See the seamless, smile-enhancing results of modern restorative dentistry.