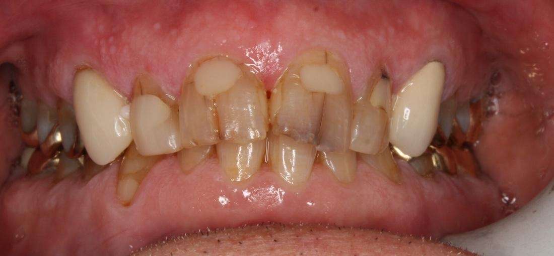
Before-and-after image showcasing the transformation with ceramic crowns in Pampa, TX. Achieve a strong, natural-looking smile with lifelike results that blend seamlessly.
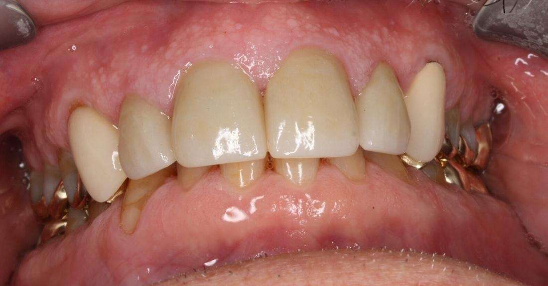
Before-and-after image showcasing the transformation with ceramic crowns in Pampa, TX. Achieve a strong, natural-looking smile with lifelike results that blend seamlessly.