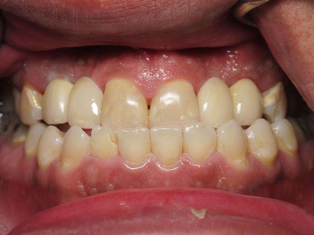
Before-and-after image showing a smile restored with an implant bridge in Pampa, TX. Enjoy a secure, natural-looking solution for missing teeth with long-lasting results.
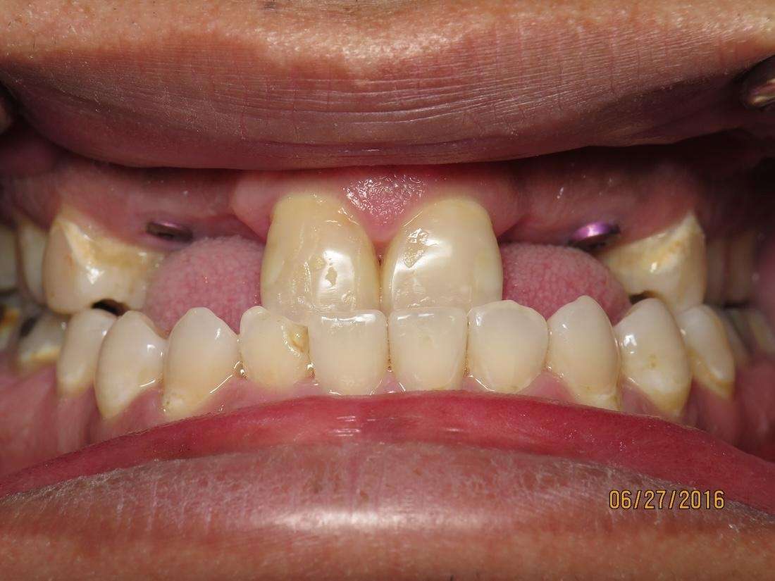
Before-and-after image showing a smile restored with an implant bridge in Pampa, TX. Enjoy a secure, natural-looking solution for missing teeth with long-lasting results.